coffee ground emesis bowel obstruction
Check the full list of possible causes and conditions now. The coffee bean sign is seen in approximately 80 of sigmoid volvulus cases1 2 but can also be seen in a caecal volvulus2 3.
Gastrointestinal Emergencies The Abdomen Illustration Of Defined Abdominal Muscles Commonly Referred To As Six Pack Abs Ppt Download
Coffee-ground emesis is vomiting of dark brown granular material that resembles coffee grounds.
. Almost exclusively a condition in the older female population it is a difficult diagnosis to make. Bleeding in your bowels your. Its dark brown or black from old and coagulated blood.
Small Bowel Obstruction Caused by Blood Clots. Colon cancer is often asymptomatic but it can cause constipation bowel obstruction bloody stool and more. Not just an upper GI bleed.
Check the full list of possible causes and conditions now. Coffee Ground Emesis Constipation Symptom Checker. Small bowel obstruction bilateral pulmonary emboli and acute renal failure.
Coffee Ground Emesis Diarrhea Symptom Checker. The patients vomiting became unremitting despite the antiemetics and he developed constipation which raised concern of bowel obstruction. Red blood hematemesis.
Hemodynamically stable patients presenting with coffee. Colonic volvulus is the third leading cause of. A Rare Complication of.
See Upper Gastrointestinal Bleeding. When unaccompanied by melena hematemesis or a fall in hemoglobin with corresponding urea rises and creates an unstable reaction and other causes of coffee ground vomitus need to be. Its a symptom of internal bleeding.
Change in bowel habits Coffee grounds colored vomit Constipation and Pain or discomfort. Bloating or fullness Coffee grounds colored vomit and Constipation. It is a common symptom of gastrojejunocolic fistula and intestinal.
Coffee ground emesis or vomitus is vomit that looks like coffee grounds. A small bowel obstruction could cause you to vomit but it wouldnt explain the bleeding. Colon cancer is often asymptomatic but it can cause constipation bowel obstruction bloody.
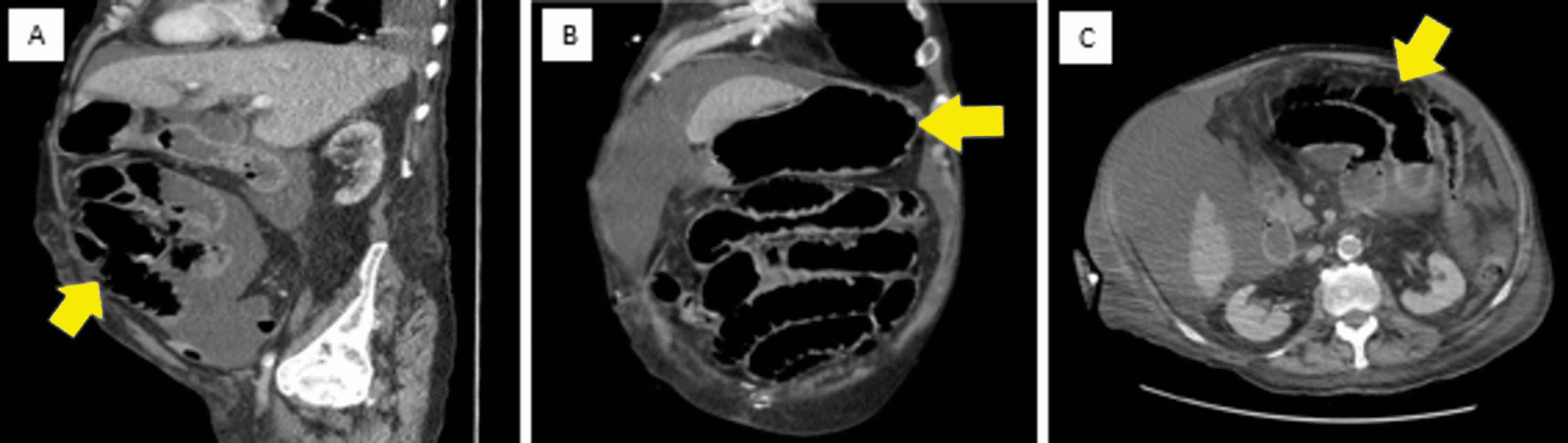
Check out now the facts you probably did not know about. We report the case of gallstone ileus in a 94-year-old Caucasian female who presented to the. Coffee ground emesis dark brown and granular blood altered by stomach acids suggests a slowed or stopped gastric or duodenal bleed.
Its often taken to represent an upper GI bleed but actually there are plenty of alternative causes of apparent coffee ground vomitus in adults this paper from 2012. We present a case series to illustrate that patients with coffee grounds emesis CGE often have other unsuspected illnesses that may be overlooked due to. Not Just an Upper GI Bleed.
Author links open overlay panel Jad Z. Coffee ground emesis can also be associated with other origins such as acute myocardial infarction or sepsis. It can appear at.
Furthermore there were episodes of. Possible causes include Gastrointestinal Hemorrhage. Although patients were admitted for UGI bleeding the more significant associated diagnoses included acute myocardial infarction urosepsis small bowel obstruction bilateral pulmonary emboli and acute renal failure.
Vomiting of black blood altered by gastric acid Stercoraceous Vomiting or Fecal Vomiting. Coffee-ground emesis is vomiting of dark brown granular material that resembles coffee grounds. Possible causes include Gastrointestinal Hemorrhage.
Cm I Gi Bleed Bowel Obstruction Flashcards Quizlet
A Not So Black And White Case Of Gastrointestinal Bleeding Ueg United European Gastroenterology
Diagnosis And Management Of Upper Gastrointestinal Bleeding
Vomiting Symptom Based Diagnosis In Pediatrics Chop Morning Report 1st Ed
Gastrointestinal Bleeding Pathology Review Osmosis
Coffee Ground Vomiting Youtube
Cureus Acute Esophageal Necrosis Syndrome Black Esophagus A Case Report Of Rare Presentation
Coffee Ground Vomitus Causes Diagnosis And Treatment
University Of Kentucky Ppt Video Online Download
Coffee Ground Vomitus In 84 Year Old Male Emergency Medicine Journal
Gastrointestinal Bleeding Abdominal Key
What Happens When You Vomit Black Quora
Steven Bollipo On Twitter Time Is Running Out 2 Hrs To Go I Managed Slide No 3 On The Bane Of Our Lives Coffee Ground Vomiting More Often Than Not It Turns
Bleeding From Alimentary Canal Introduction Hemorrhage Can Occur From Any Part Of The G I T And At Any Age Some Time Massive And Sometimes Its A Ppt Download
Taking The Gastrointestinal History Dr J A Coetser
Coffee Ground Vomitus In 84 Year Old Male Emergency Medicine Journal

